Giano HR
Идеальное видение
Неограниченный диагностический потенциал
- Мощная диагностика
- Технология HR от Newtom
- Безопасность пациента
- 10” сенсорная консоль
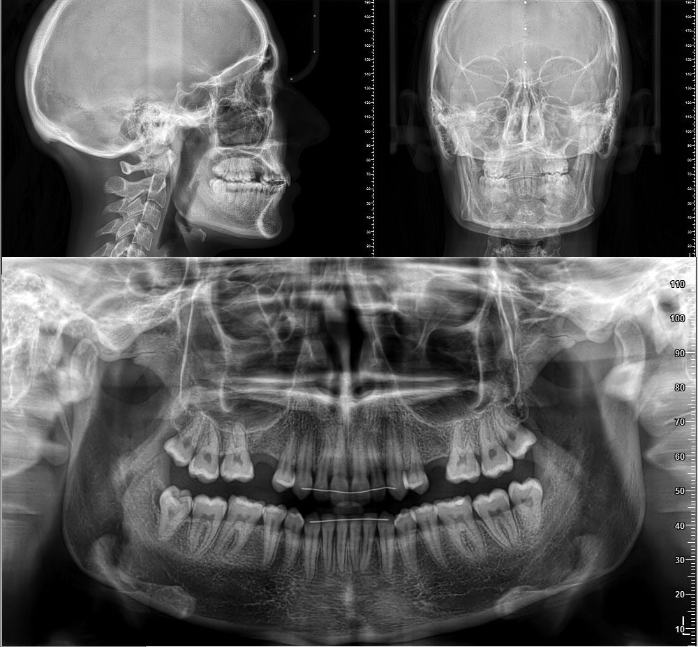
КОМПЛЕКСНЫЙ ГИБРИДНЫЙ КЛКТ ДЛЯ 2D/3D ВИЗУАЛИЗАЦИИ. ИЗОБРАЖЕНИЯ В ВЫСОКОМ РАЗРЕШЕНИИ С ЗАХВАТОМ МЕЛЬЧАЙШИХ ДЕТАЛЕЙ
GIANO HR – универсальное обновляемое устройство от NewTom для всех задач, связанных с радиографией. Благодаря полному диапазону опций 2D и 3D исследования для стоматологии оно предлагает множество особых трехмерных обследований для челюстно-лицевой хирургии, оториноларингологии и осмотра шейного отдела позвоночника. Визуализация только наивысшего качества с технологиями и опытом NewTom
ИНТЕГРИРОВАННАЯ ПРОГРАММНАЯ ПЛАТФОРМА NNT
Лучшая платформа для съемки, обработки и отправки 2D/3D диагностических снимков
NNT – программное обеспечение NewTom, предоставляющее несколько специальных режимов применения для имплантологии, эндодонтии, пародонтологии, челюстно-лицевой хирургии и радиографии. Это мощное технологически новейшее устройство, разработанное, чтобы снимать и обрабатывать изображения в несколько простых шагов для получения информации, необходимой для конкретного подробного диагноза пациенту. Продвинутое устройство, дающее врачу специальные инструменты для измерения анатомической области (расстояния и углы), нахождения нижнего альвеолярного нерва и замера объема верхних дыхательных путей.
NewTom GiANO HR новейшая модель была официально представлена на международном конгрессе радиологов ECR 2018 в марте в Вене. Благодаря обновленным системам механики и запатентованным механизмам работы аппарат отличается от своих сверстников Высочайшим качеством получаемых изображений, как 2D, так и 3D. Лучшее качество снимков и мы отвечаем за это! Этот аппарат заменит три аппарата! Панорамный аппарат, цефалометрическая приставка и конусно-лучевая компьютерная томография интегрированы в единую платформу. В комплекте детектор для выполнения 3D исследований с захватом области 13х16 см, Сьемный 2D CMOS детектор для выполнения панорамных исследований, и ТРГ.
Комплектация
- Сканер
- Комплект соединительных кабелей
- Рабочая станция
- Программное обеспечение NNT Expert + ключ на 5 рабочих станций (ПК)
Возможности
- Модуль для выполнения 3D исследований методом конического луча
- Детектор для конусно-лучевой 3D томографии с размером FOV 16х18 см
- Модуль для выполнения панорамных исследований
- 2D сенсор для выполнения цефалометрических/ панорамных исследований
- Лазерное позиционирование
- Съемный 2D CMOS детектор для панорамных и цефалометрических исследований
- Режим работы: автоматический или ручной
- Ключ к программному обеспечению NNT Expert
- Крепление аппарата к стене